Osteochondrosis világszínvonalú betegség, mert az embereket a világ minden táján érinti (40-90%). Ez a patológia a legtöbb esetben érett korú embereknél fordul elő, 30 év után. A mindennapi életben a hátfájást gyakran ennek a betegségnek tulajdonítják. Cikkünkben megvizsgáljuk a részletes tüneteket, megtudjuk az osteochondrosis okait és kezelési módszereit. Az orvostudományban erről a betegségről a gerincszövet degeneratív-dystrophiás jellegű elváltozásaként beszélnek. Az osteochondrosis a csigolyaközi lemezek, az ízületi felületek, a csigolyatestek és az ínszalagok elváltozásaival jár. Általában az osteochondrosisban először a csontok és az ínszalagok érintettek.
Az osteochondrosis kialakulásának több szakasza van. Nézzük meg őket részletesebben:
- Az osteochondrosis a kezdeti szakaszban úgy néz ki, mint a nucleus pulposus kiszáradása, ami a csigolya helyzetének csökkenését okozza. Hogy érthetőbb legyen az olvasó számára, magyarázzuk el, mi az a nucleus pulposus. Ez az orvosi kifejezés a csigolyaközi lemez belsejét jelenti, amelyet félfolyékony (kötőszöveti rostok) és kocsonyás (kondrin) komponensek képviselnek. Ebben az időszakban a beteg repedéseket tapasztal a rostos gyűrűben.
- A következő szakasz szorosan összefügg az előzővel: a csigolya prolapsusa miatt a szalagok és az izmok megereszkednek. Ez az állapot a csigolyák motoros egyensúlyhiányát váltja ki. Ezt az időszakot a spondylolisthesis, vagy leegyszerűsítve a csigolyák elmozdulása jellemzi.
- Az osteochondrosis fejlődésének harmadik szakaszát a hétköznapi ember számára feltűnőbb megnyilvánulások jellemzik - az intervertebrális lemezek kiemelkedései (tartalmuk kiemelkedése) és az arthrosis.
- Az osteochondrosis végső szakasza az osteophytákhoz kapcsolódik. Szervezetünk a csigolyák „lazaságát” észlelve igyekszik visszaadni a gerincet eredeti funkcióihoz: támasztó és védő funkciójához. Ennek elérése érdekében a csigolyák felszínén csontkinövések jelennek meg, amelyeket osteophytáknak nevezünk. Ugyanebben az időszakban a rostos szövet nő. E folyamatok eredménye a gerinc motoros szegmensének beszorulása a héjba.
Az osteochondrosis több fajra kiterjedő betegség. Vannak a nyaki, a mellkasi és a lumbosacralis régió osteochondrosisai, valamint az osteochondrosis gyakori típusa. A térdízület osteochondrosisa egyre gyakoribb az orvosi gyakorlatban.
Az osteochondrosis kialakulásának okai
A betegség kialakulásának okai számosak, és nem mindig könnyű meghatározni. Az embereket közelebb hozza az osteochondrosis kialakulásához a manapság oly gyakori mozgásszegény életmód, a túlsúly, a rossz szokások (különösen a dohányzás), a helytelen táplálkozás, a lapos láb, a nehéz fizikai aktivitás és a rossz testtartás. A gerinc sérülése hozzájárulhat az osteochondrosis megjelenéséhez, és genetikai hajlamon keresztül is kialakulhat. A betegség kialakulásának gyakori okai az anyagcserezavarok, fertőzések, veleszületett rendellenességek és az életkorral összefüggő változások. Érdekes tény az osteochondrosis kialakulása és a rezgések közötti kapcsolat. Ez közvetlenül érinti a mezőgazdasági gépek vezetőit vagy a gépkezelőket.
A mai osteochondrosisnak nincsenek komoly korhatárai - mind az időseknél, mind a fiataloknál előfordul. Van egy vélemény, hogy az osteochondrosis kialakulása a sólerakódásokhoz kapcsolódik, de ez nem teljesen igazságos. A sólerakódások nagyobb valószínűséggel az osteochondrosis következményei. Az osteochondrosis fájdalmának oka gyakran az ideggyökerek irritációja, amelyet az orvostudományban irritációnak neveznek. Az osteochondrosis hátterében álló érrendszeri rendellenességek a vazomotoros rendszer károsodott beidegzése miatt alakulnak ki.
Az osteochondrosis tünetei

Az osteochondrosis legnyilvánvalóbb tünete a fájdalom és a kellemetlen érzés. A fájdalom nem mindig állandó; időszakosan súlyosbodhat, majd alábbhagyhat. Ezeket a tüneteket gyakran a végtagok zsibbadása kíséri. A legtöbb esetben a fájdalom a test bal oldalára sugárzik. Ha ennek a betegségnek a tüneteit észleli magában, akkor siessen, és forduljon szakemberhez - terapeutához vagy neurológushoz. Az osteochondrosis korai szakaszában történő felismerése javítja a kezelés hatékonyságát.
Az osteochondrosisban a betegek gyakran panaszkodnak a fokozott fáradtságról. Egy érdekes tulajdonság, első pillantásra nem világos, hogyan kapcsolódik ehhez a betegséghez, a végtagok hidegsége. Az osteochondrosist gyakran fejfájás és szédülés kíséri. A betegségre jellemző a nagy szemfáradtság, sőt a látáscsökkenés is. A lumbosacralis régió osteochondrosisával a betegek a reproduktív rendszerrel kapcsolatos problémákat tapasztalhatnak. Fontos, hogy a nők tudják, hogy az osteochondrosis megzavarhatja a terhesség normális lefolyását és magát a fogantatást. Az osteochondrosis minden típusának saját jellegzetes jelei vannak. Így a betegség nyaki típusánál fejfájás (különösen a fej mozgatásakor), szédülés a fej elfordításakor, az érintett terület érzékenysége, fájdalom a nyakban, a lapockákban, a karokban és a mellkasban jelentkeznek. A nyaki osteochondrosis érdekes és nem különösebben kellemes tünete a nyelvi mobilitás károsodása. A mellkasi típusú osteochondrosis ritka, és mellkasi fájdalom jellemzi, különösen légzéskor. A fájdalom kisugározhat a gyomorba, a szívbe és a májba. Erre a típusra is jellemző a zsibbadás, csak most a mellkas területén. A lumbosacralis patológiával a betegek gyakran panaszkodnak a lábukba sugárzó fájdalomról. Az ilyen típusú osteochondrosis másik tünete az alsó végtagok parézise.
Az osteochondrosis diagnosztizálásának módszerei

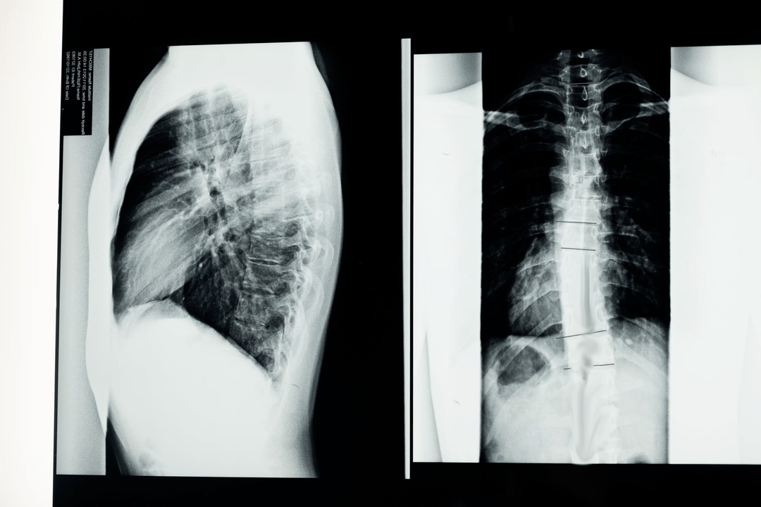
A diagnosztikai vizsgálatok megkezdése előtt a neurológus összegyűjti a beteg kórtörténetét, és gondosan megvizsgálja panaszait. Az osteochondrosisnak néhány más betegséggel közös tünetei vannak, ezért fontos a patológiák megkülönböztetése. A röntgenvizsgálatok segítenek megerősíteni az osteochondrosis diagnózisát: radiográfia, mielográfia és számítógépes tomográfia.
A felmérés röntgenfelvétele lehetővé teszi, hogy röntgenképet kapjon a gerincről vagy annak egy szakaszáról. Ily módon az orvos meghatározhatja a betegség által érintett helyet. Az egyértelműség kedvéért elmagyarázzuk, hogyan határozható meg az osteochondrosis röntgenfelvétellel: a képen a csigolyaközi porckorong szűkülete, csontkinövések (osteophyták) jelenléte vagy a gerincszegmens alakjának megváltozása látható.
A mielográfiai vizsgálat összetettebb, mint a radiográfiai vizsgálat. Ez bizonyos manipulációknak köszönhető, amelyeket az orvosoknak el kell végezniük a mielográfia során: kontrasztfolyadékot fecskendeznek a gerincvelő-csatornába. Ez veszélyt jelenthet a betegre: egyrészt allergiás reakció alakulhat ki a befecskendezett anyagra, másrészt, ha a szúrás sikertelen, a gerincvelő sérülhet. Ennek ellenére a megfelelően elvégzett mielográfia lehetővé teszi a szakemberek számára, hogy megtekintsék a gerincvelő-csatorna belső szerkezetét. Ez a módszer különösen fontos a gerincsérv diagnosztizálásában.
A CT (számítógépes tomográfia) és az MRI (mágneses rezonancia képalkotás) a leghatékonyabb és legmodernebb módszer az osteochondrosis és a hasonló tünetekkel járó gerincbetegségek megkülönböztetésére.
Az osteochondrosis kezelése

Az osteochondrosis kezelését átfogóan végzik. Ez a terápia a fő szindróma és a betegség okainak megszüntetésére szolgál. Az osteochondrosis leküzdésére az orvosok akupunktúrát, vákuumkezelést, manuális terápiát, lézeres kezelést, vontatást, elektromos stimulációt, farmako- és mágneses punkciót alkalmaznak. A hatékony kezelés megszerzésének fő feladata a betegség időben történő felismerése. Az ezzel a súlyos betegséggel szembesülő embereket aggasztja a fő kérdés: lehetséges-e az osteochondrosis gyógyítása? A válasz az osteochondrosis formájától és mértékétől függ. Ha a betegség kezelését az első szakaszban kezdik meg, akkor örökre megszabadulhat az osteochondrosistól.
Az osteochondrosis kezelésére az orvosok gyógyászati és nem gyógyszeres módszereket alkalmaznak. Az osteochondrosis kezelésében használt gyógyszerek közül érdemes kiemelni:
- Nem szteroid gyulladáscsökkentő szerek. Segítenek megszüntetni a fájdalmat és a gyulladást. Az NSAID-ok helyi használatra kenőcsök és gélek formájában írhatók fel.
- Novocain blokádok. Hatékonyan kezelik a fájdalmat.
- Szteroid gyógyszerek. Epidurális és intramuszkuláris injekciók formájában írják fel őket.
- Izomrelaxánsok. Az ilyen gyógymódok segítenek a betegnek az izomgörcsök elleni küzdelemben.
- B1, B6 és B12 vitaminok. Segítenek javítani a gerinc egészségéhez szükséges anyagcsere-folyamatokat.
A nem gyógyszeres kezelések példái változatosak, érdekesek és élvezetesek. A következők segítenek megbirkózni az osteochondrosis megnyilvánulásaival gyógyszerek nélkül:
- gyakorlati terápia;
- fizikoterápia;
- masszázs;
- manuális terápia;
- vontatás;
- reflexológia.
Nézzük meg részletesebben ezeket a kezelési módszereket. A fizikoterápia osteochondrosis esetén az ideggyökerek összenyomódásának megszüntetésére, a helyes testtartásra és az izomfűző megerősítésére szolgáló fizikai gyakorlatok válogatása. Az edzésterápia segít megelőzni az osteochondrosis szövődményeinek kialakulását. Az ilyen fizikai aktivitás segít csökkenteni közvetlenül a gerincoszlop terhelését, és javítja annak vérellátását is.
Az osteochondrosisban szenvedő betegek számára fizioterápiás eljárásokat írnak elő a fájdalom és a gyulladás megszüntetése érdekében. Ezen a területen hatékonyan működik az elektroforézis, az ultrahang, a lézer és a mágneses kezelés. A masszázs serkenti a vérkeringést és oldja az izomfeszültséget. Nemcsak a gyógymasszázs segít a fájdalom megszüntetésében, hanem a manuális terápia is. Ezenkívül segít a csigolyák mozgékonyságának helyreállításában és a helyes testtartásban.

Vontatás... mi az? Ez alatt az első pillantásra érthetetlen szó egy egyszerű jelentést rejt - „kiterjesztés”. A gerinc nyújtásának vágya valószínűleg minden osteochondrosisban szenvedő ember számára ismerős. A mai orvoslásban speciális eszközök vannak, amelyek lehetővé teszik ezt. Ez az eljárás lehetővé teszi, hogy megszabaduljon a fájdalomtól és növelje az intervertebrális teret.
Az osteochondrosis nem gyógyszeres kezelésének másik érdekes módszere a reflexológia. Szorosan kapcsolódik az akupunktúrához, mivel az emberi test reflexogén pontjait befolyásolja.
Az osteochondrosis legjobb gyógymódja
Az osteochondrosis ideális gyógyszerének meg kell szüntetnie a fájdalmat és a gyulladást, javítania kell a vérkeringést, helyre kell állítania a porcok és az ízületek mobilitását, valamint csökkentenie kell a beteg depresszióját. A jól megválasztott gyógyszerek komplexe megbirkózik mindezekkel a feladatokkal. A cikk ezen részében ezeket a gyógyszereket részletesen elemezzük.
Nem szteroid gyulladáscsökkentő szerek vagy NSAID-ok osteochondrosis kezelésére

Az NSAID-ok segítenek az osteochondrosisban szenvedő betegeknek leküzdeni a fájdalmat, a gyulladást és a duzzanatot. Ezek a gyógyszerek előállíthatók mind helyi külső használatra kenőcsök és gélek formájában, mind belső használatra tabletták és injekciós oldatok formájában. A nem szteroid gyulladáscsökkentő gyógyszerek különböző csoportokba sorolhatók:
- A diklofenak hatóanyagú gyógyszercsoport. Ezek a gyógyszerek fokozzák más fájdalomcsillapítók fájdalomcsillapító hatását és csökkentik a gyulladást. Ennek a csoportnak a hátránya, hogy terhesség és szoptatás alatt nem alkalmazhatók.
- A korábbi gyógyszerekkel ellentétben az ibuprofén csoportba tartozó gyógyszereket terhes és szoptató nők számára engedélyezett, orvos felügyelete mellett. Az anyag jól tolerálható, ezért gyermekeknek is felírható.
- A Ketoprofen gyógyszercsoport felgyorsult fájdalomcsillapító hatással rendelkezik.
- Az új generációs NSAID-ok közé tartozik a Nimesulide csoport. Minimális mellékhatásuk van.
Vasodilatátorok osteochondrosisra
Az osteochondrosisos erek szűkülése a fájdalom és az izomfeszültség kapcsán figyelhető meg. Ennek eredményeként a sérült szövetek oxigén éhezése következik be, és ennek eredményeként a belső szervek működése megzavarodik. Az ilyen szövődmények elkerülése érdekében az orvosok értágító gyógyszereket írnak fel pácienseiknek.
Izomrelaxánsok osteochondrosisra
Az izomrelaxánsok ellazítják az izmokat és nyugtató hatásúak. Ez jótékony hatással van a véráramlásra, és segíti a nem szteroid gyulladáscsökkentők fájdalomcsillapító hatását. Az izomrelaxánsok emellett felgyorsítják a sérült szövetek helyreállítási folyamatát.
Kondroprotektorok az osteochondrosishoz
A kondroprotektorok és a vitaminkomplexek segítenek helyreállítani a porcszövetet. A kondroprotektorok olyan szerek, amelyek nemcsak a porcszövetet, hanem az ízület mobilitását is helyreállítják. Az ebbe a csoportba tartozó gyógyszerek a kondroitin és a glükózamin alapúak.
Nyugtatók az osteochondrosishoz
Úgy tűnik, miért kell nyugtatókat szedni az osteochondrosis kezelésében? A válasz nem olyan bonyolult, mint gondolnánk: a fájdalom szindróma, amely hosszú ideig kísérti az embert, könnyen depressziót és gyakori stresszt válthat ki. A legtöbb esetben elegendő a valerian vagy anyafű tinktúrája.
A kezelőorvosnak ki kell választania a gyógyszereket olyan súlyos betegség kezelésére, mint az osteochondrosis.
Fűző osteochondrosishoz

Bármilyen osteochondrosis komplex kezelésében az orvosok hasznosnak tartják a fűző viselését. A fűzők speciálisan a nyaki, mellkasi és ágyéki régiókra, vagy a gerinc teljes rögzítésére készülnek. Mellkasi osteochondrosis esetén speciális sztreccs anyagból készült fűzőket használnak fém vagy műanyag sínekkel. Az ágyéki osteochondrosis esetén merev kereszttel és fémből vagy műanyagból készült hosszanti betétekkel ellátott fűzőket használnak. A gyártáshoz használt anyag szalag vagy neoprén. A nyakfűzőt gallérnak nevezik, és merev. A teljes gerincet rögzítő fűzőket testtartáskorrektoroknak is nevezik. A fűzők puha, közepes és kemény változatban kaphatók. A fűző merevségének mértékét a kezelőorvos határozza meg egyénileg.
Az osteochondrosis fűzőjének viselése segít megerősíteni a hátizmokat, csökkenti a fájdalmat, javítja a testtartást, megakadályozza a szövődmények kialakulását és felgyorsítja a gyógyulást. Vannak bizonyos szabályok a fűző viselésekor. Az osteochondrosisban szenvedő betegeknek feltétlenül konzultálniuk kell egy szakemberrel a fűző kiválasztását és használatának szükségességét illetően. Az első alkalommal a fűzőt legfeljebb 15 percig viselik, majd legfeljebb napi 6 órán keresztül viselheti.
Az osteochondrosis megelőzése
A megelőzés nagy jelentőséggel bír a gerinc egészségének megőrzésében és az osteochondrosis súlyosbodásának megelőzésében. A megelőzés érdekében egészséges és aktív életmódot kell folytatni, gyakorlatokat kell végezni és a túlsúly elleni küzdelmet, ha van ilyen. A stressz és az idegi sokk az osteochondrosis kialakulását is okozhatja. Ezért fontos figyelni mentális stabilitását és elkerülni a stresszes helyzeteket. Az egyszer elszenvedett sérülések végül negatívan reagálhatnak, ezért gyermekkortól kezdve kerülni kell őket. Az osteochondrosis és a megelőzés megfelelő táplálkozása különösen fontos.
Diéta osteochondrosis számára

Egyes szakértők a táplálkozás fontos szerepéről beszélnek a gerinc egészségében. Az ember által elfogyasztott termékeknek olyan anyagokat kell biztosítaniuk számára, amelyek szintetizálják a porcszövetet. A zselében, a zselésített húsban és a zselatinban található mukopoliszacharidokról beszélünk. Fontos a megfelelő folyadékbevitel ellenőrzése, mert hiánya a csigolyaközi porckorongok kiszáradásához vezet. A fehérjék hasznosak a normál étrendben, és különösen az osteochondrosis jelenlétében. Ezeket az anyagokat húsból, diófélékből, halból, babból és padlizsánból lehet nyerni.
Az ásványi anyagok és vitaminok erősítik a csontszövetet. Tehát kalciumot kaphatunk kemény sajtokból, tejtermékekből, babból és salátából. Fontos megjegyezni, hogy a tojásban, a vajban és a tengeri halakban található D-vitamin szükséges a kalcium felszívódásához. A magnézium segít megtartani a kalciumot a csontszövetben, és megakadályozza, hogy kimosódjon a szervezetből. Magnéziumhoz juthatunk uborka, dió és napraforgómag fogyasztásával. Sokan tudnak a hal foszfortartalmáról, de az, hogy ez az elem a borsó, a szójabab, a korpa és a fehér káposzta összetételében is szerepel, kevésbé ismert tény. A mangánforrások közé tartozik a csirkehús, a sárgája, a túró, a burgonya héja és a banán.
A vitaminok közül érdemes kiemelni az A, B és C csoport különleges szerepét. Az A-vitamin forrása a nyers tojás, a máj, a sárgarépa és a sárgadinnye. A sertéshús, a marhahús, a tenger gyümölcsei, a gomba és a gabonafélék tartalmaznak B-vitamint. A gyermekkorunk óta ismert aszkorbinsav friss gyümölcsökben és zöldségekben található.
Tehát, ha megnézzük az osteochondrosisra vagy annak megelőzésére szolgáló étrendben szereplő termékeket, látni fogjuk, hogy ebből a listából nagyon finom és változatos ételekből álló menüt készíthetünk.
Most pedig nézzük a tiltott termékeket. Az osteochondrosisos termékek feketelistája tartalmazza: sót, savanyúságokat és pácokat, forró fűszereket, feldolgozott élelmiszereket, cukrot (mézzel helyettesíthető), szódát és kávét.
Az osteochondrosis szövődményei

Az osteochondrosis, ha nem megfelelően kezelik, fogyatékossághoz vezethet. Ennek a patológiának a szövődményei a következők:
- A gerincvelő szűkülete a csatornája szűkülete miatt. Ez a végtagok zsibbadását és járási problémákat okoz.
- Becsípődött gerincvelői idegek.
- Porckorong kitüremkedés, majd csigolyaközi sérv.
- Radiculitis.
- Lumbago és isiász.
- Vegetatív-érrendszeri dystonia.
- Schmorl-sérv.
- A csigolya elmozdulása.
- Migrén és fejfájás.
A nyaki gerinc osteochondrosisával gyakran megfigyelhető a vérnyomás emelkedése.
Ha panaszai vannak a gerinc egészségével kapcsolatban, siessen orvoshoz fordulni, mert az időben történő kezelés a sikeres gyógyulás kulcsa.



















